整形外科
変形性膝関節症
変形性膝関節症、膝関節骨壊死症に対する治療
初期治療の原則は保存治療ですが、痛み止めの薬や関節注射(ヒアルロン酸)、運動療法(ストレッチや筋力強化)、装具療法(膝のブレースや杖)などの保存治療を続けても痛みが改善しない場合、手術治療を検討します。
当院では変形した関節を人工物に取り換える人工膝関節全置換術(じんこうひざかんせつぜんちかんじゅつ)と関節を温存できる高位脛骨骨切り術(こうい けいこつ こつきりじゅつ)を行っています。活動性(運動や仕事)や膝関節の変形の程度を評価して治療方針を決定します。
膝関節機能を温存できる手術
変形性膝関節症の手術治療の1つとして膝関節を温存できる高位脛骨骨切り術があります。O脚(内反変形)の膝はレントゲンでみると膝内側の関節のすきまが狭くなっています。体重がかかるとさらにすきまは狭くなり、大腿骨と脛骨(すねの骨)がゴリゴリとこすれて痛みが生じます。変形性膝関節症の初期から中期の患者では膝の内側は損傷していますが、膝の外側は正常のことが多いです。このような膝に対しては膝関節の関節表面全体を切除する人工膝関節全置換術をしなくても高位脛骨骨切り術をすることで痛みをとることは可能です。さらに、すり減ってなくなった関節軟骨が術後の経過で修復されることも証明されており、長期的に良好な成績が得られることが期待されています。
高位脛骨骨切り術(こうい けいこつ こつきりじゅつ)とは
O脚に変形した膝を矯正することで、膝の内側にかかっていた負担を軽減する事ができ、膝の痛みがなくなります。矯正する角度は膝の変形の程度により異なるため、手術の前に詳しいレントゲン検査を行い手術の計画を立てます。
従来、この手術は術後の活動制限を長くしいられ社会復帰に時間を要するという欠点があったためあまり選択されることがありませんでした。しかし、近年、新しい手術方法と手術器具の開発が進み、これまで最大の欠点であった術後の荷重制限の期間が大幅に短縮され、ギプスなどによる長期間の固定も不要となりました。
術後は翌日から車いすへの移乗が可能となり、術後1週間から部分的に体重をかけて歩く練習を始めます。術後2週間から全部の体重をかけて歩く練習を開始して、歩行や階段の上り下りが可能となれば退院は可能です。自動車の運転や自転車走行は全荷重歩行が安定していれば可能です。

高位脛骨骨切り術の利点と欠点
<利点>
→関節内の靭帯(前十字靭帯、後十字靭帯)や半月板は温存されますので、本来の膝関節の機能(関節の安定性、円滑な運動、ひねりや衝撃に対する耐性)が温存されます。人工関節では禁止されているしゃがみこみや正座、スポーツ活動なども可能となります。
→最初の手術の時に完全に無くなっていた関節軟骨が手術後に修復されていることがあります。約4~5割の患者でこのような修復が見られます。軟骨が再生されるくらい膝関節の環境がよくなっていると考えられます。


関節軟骨が完全に消失した骨の表面(左図)が、術後1年で右図のように関節軟骨が再生され関節面が修復されている
→レクリエーションレベルのスポーツや膝を使う労働(しゃがみこみ、長時間歩行、重い荷物の持ち運び)は可能です。ただし、復帰までにはしっかりとした運動訓練(ストレッチや筋力強化、持久力強化など)が必要です。

手術前に膝の動きが良かった方は、手術後に正座やしゃがみこみも可能です。
ただし、手術前に膝の動きが悪くて筋肉や関節が拘縮(かたまってしまっている)している方は、術後の膝の動く範囲も制限されます。
手術後に全員正座ができるわけではありません。
<欠点>
→術後2週間で全部の体重をかけて歩く訓練を開始しますが、術後1~2か月までは歩行時に軽い痛みや重だるい感じがあります。杖があれば症状は軽くなります。
→レントゲンで骨切り部分に新しい骨を認めるのは術後2~3か月です。次第に骨切り部の隙間は新しい骨で埋まっていき、術後6か月くらいで大部分の隙間がうまります。本格的な運動や重労働は骨切り部分が治ってから許可しています。日常生活での動作(歩行や自転車)は退院後可能です。
→骨切り部分が完全に治れば固定材料を抜去することを勧めています。手術後1~2年で抜去します。
この手術のよい適応
<変形性膝関節症の患者>
・変形の程度が軽度から中等度(詳しくはレントゲン評価が必要)
・膝の動きがよい(あまり伸びない膝や曲がらない膝は手術後のリハビリで苦労します)
・活動性が高い(スポーツや仕事で膝をよく使う方、趣味での運動を続けたい人)
・年齢による制限はありません。ただし、高齢の方(80歳以上)では骨密度低下や筋力低下、関節のかたさなどを認めることが多く、術後のリハビリを考えると人工膝関節全置換術を勧めています。


O脚変形の膝 左ひざのレントゲン
<膝関節骨壊死症の患者>
高位脛骨骨切り術の良い適応です。この疾患は損傷している部位が限局的(膝の内側)なので、この手術の一番の適応と言っても過言ではありません。レントゲン検査とMRIで診断します。

治療に悪い影響を与えるもの
BMI=体重(kg)÷身長(m) ÷身長(m) :25以下を目指してください。
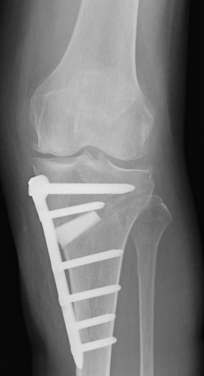
骨切り術の種類
膝の変形の程度やお皿(膝蓋骨)周りの変形の有無により骨切り方法が変わります。大きく分けて①内側開大型 (Open wedge)と②外側閉鎖型 (Closedwedge)があります。


① 内側開大型 ② 外側閉鎖型
<内側開大型>
すね(脛骨)の内側を骨切りして、骨切り部分を開いていく方法です。術後の骨切り部安定性は良いので、早くから屈曲訓練や歩行訓練が可能です。
良い適応は?
内反変形(O脚)が軽度であり、膝蓋骨(お皿の骨)周囲の変形がない患者。
術後の経過は?
1週間の装具固定を行います。部分的に体重をかける歩行訓練は術後1週間から開始します。術後2週間たってから全部の体重をかけて歩く練習を始めます。退院は歩行が安定して、屈曲角度が120度まで得られると可能です。
問題点は?
1.すね(脛骨)の内側に傷ができますが、この部分は皮下脂肪が少ないために術後に内固定材料(骨を固定するプレート)による痛みが出ることがあります。術後6~12か月で骨がくっつけばプレートを抜去することが可能です。
2.足の長さが少し長くなります。O脚を真っすぐにするだけで足は長くなるのですが、この手術の場合、さらに骨切り部分を開くためにすね(脛骨)の骨が長くなります。多くの場合、リハビリ訓練で骨盤や背骨の傾きを変化させることで、両足の長さの違いは矯正することができます。
<外側閉鎖型>
すね(脛骨)の外側を三角状に骨切りして、骨切り部分を閉じる方法です。術後の骨切り部がやや不安定なので、術後しばらくは装具固定が必要となります。
良い適応は?
内反変形(O脚)が強い患者。お皿の周り(膝蓋大腿関節)にも変形がある患者。
術後の経過は?
2週間の装具固定を行います。その後、部分的に体重をかける歩行訓練と屈曲訓練を開始します。術後4週間たってから全部の体重をかけて歩く練習を始めます。退院は歩行が安定して、屈曲角度が120度まで得られると可能です。
問題点は?
腓骨(下腿の外側の骨)の一部を切除します。この手術の場合、腓骨を骨切除しないとすね(脛骨)を矯正できません。腓骨の骨切除による術後の影響はほとんどありませんが、骨切除を行った部分のツッパリやスポーツ活動中の痛みを感じることがあります。
<退院から社会復帰まで>
・当院での入院期間は約3~4週間です。退院時は安全のため杖を使用して歩行することをすすめています。
・自動車や原付バイクの運転は全荷重歩行が安定していれば可能です。
・自転車の使用は固定式自転車(エアロバイク)で膝の動きがスムーズであれば許可しています。
・重労働(重たい荷物の運搬やしゃがみこみ動作など)や軽い運動(ゴルフやハイキングやボーリング、ヨガなど)は骨切り部に新しい骨ができ始めると可能です。術後3~4か月でできることが多いです。
・骨切り部が新しい骨でほとんど埋まれば、運動制限はしません。あらゆるスポーツ、労働が可能となります。早い方では術後6か月、一般的には9~12か月で可能となります。